اثرات مصرف مزمن ماده مخدر متامفتامین (شیشه ) چیست
Effects of Chronic Meth Use اثرات مصرف مزمن مت آمفتامین (شیشه )
|
![]() |
| Effects of Chronic Meth Use اثرات مصرف مزمن مت آمفتامین (شیشه ) |
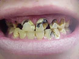
• • Tooth decay پوسیدگی دندان
• • Hepatitis هپاتیت
• • Sexual Impotence ناتوانی جنسی
• • Unplanned pregnancy بارداری ناخواسته
• • Domestic violence خشونت در منزل با خانواده
• • STD's: sexually transmitted disease بیماری های منتقله از راه مقاربت جنسی (سوزاک -ایدز -زگیل تناسلی وووو)
• • HIV/AIDS: associated with needle use & unprotected sex اچ آی وی / ایدز: در ارتباط با استفاده از فرم تزریقی متامفتامین وسوزن الوده و رابطه جنسی محافظت نشده
• • Powerful Addiction اعتیاد غیر قابل ترک مخدر متامفتامین
• • Tolerance builds so user needs more and more meth ایحاد تحمل به مخدر متامفتامین که باعث می شود معتاد به مرور میزان مصرف خود را افزایش بدهد
• • Withdrawal when use is stopped سندرم ترک در صورت قطع مصرف
•
تاثیر بر روی زندگی کودکان و بزرگسالان و کسانی که با معتاد زندگی می کنند و اسیب زدن به زندگی انها
متآمفتامین متیل امفتامین متامفتامین شیشه
MIRTAZAPINE-میرتازاپین -مير-ت ا-ز-اپين- mur-taz-a...
اختلالات روان تنی (سایکو سوماتیک) ناشی از مصرف موا...
حشیش با شیر خامه انسان را وارد مدار بسته حشیش می ک...
باب اسفنجی اقدام به ترک حشیش می کند
معتاد به حشیش سالوادور دالی
همسر توماس آلوادیسون به علت اور دوز با مورفین مرد...
چرا توهم در معتادین در شب بیشتر است و سیگاری ها ش...
متامفتامین (مخدر شیشه )می تواند تغییرات شگرفی در ز...
روس ها «کروکودیل» برای معتادان ایرانی می فرستند+ ع...
آنتی هیستامین جدید در کنترل التهاب و ورم ملتحمه
قهوه باعث کاهش وزن می شود
شهر یزد شهر تریاک آزاد
هوم-ریش بز-هوم الجوس-افدرا
شهر تهران شهر اعتیاد است
توزيع شربت ترياك در مراكز متادون درماني معتادین ر...
20 در صد از جوانان اسرائیل ار ریتالین استفاده می ک...
ایران؛ تولید کننده ششم مرفین در دنیا، مصرف کننده ...
بوليوي كه سومين كشور توليدكننده كوكائين در جهان اس...
اکستازی قرص پیشنهادی پزشکان آمریکا
علت خوردن چای با نبات در مصرف کننده گان تریاک چیست...
علت خارش بینی در مصرف کننده گان تریاک مورفین کراک ...
غذای نذری امام حسین در روز عاشورا داروی ترک متامفت...
اروپا استفاده از بطریهای نوزادان ساخته شده از ب...
ظروف یک بار مصرف ساخته شده از بيسفنول A مردان را ...
کشف ژن ساخت تی اچ سی درگیاه ماری جوانا و حشیش
بخت بد دختران معتاد
بی تی ماده مخدر جدیدBT
Adderall XR ادرال ایکس .ار (امفتامین راسمیک)
Methamphetamine Addiction During Pregnancy اعتیاد ...
متامفتامین و سکس و ایدز
مراکز درمانی ترک اعتیاد به متامفتامین (شیشه) در ل...
متادون
تاریخچه و مکانیسم اثر متادون
تمجیزک ، نورجیزک .دورجیزک
باز گشت از اعماق اعتیاد به متامفتامین (شیشه)
ترک اعتیاد مواد مخدر با مخدر هروئین (دیامورفین ) د...
PSEUDOEPHEDRINE HCI - پسودوافدرين
لیست مواد لازم برای ساخت متامفتامین (شیشه)از پسودو...
طرز ساختن متامفتامین (شیشه) با استفاده از فسفر(تصو...
ناخالصی های همراه با ماده مخدر مفدرون می تواند کش...
آزمایش ماده مخدر شیشه (متامفتامین )اجباری می شود
عواملی که تست نواری مواد مخدر .متامفتامین .حشیش .ه...
سازمان ملل: هجوم باندهای ایرانی مواد مخدر به بازار...
اعتیاد در ایران از نگاه خبرنگار خارجی
افزایش مصرف شیشه نسبت به تریاک و حشیش در ایران
چگونه بدون مخدر یا نزدیک شدن به مرگ، توهم بزنیم؟

هیچ نظری موجود نیست:
ارسال یک نظر